Investigadores de la Universidad de California en San Diego (UC San Diego), en EE.UU., asociados con colegas de la Universidad de Leeds, del Reino Unido, descubrieron un síndrome completamente nuevo, relacionado con el covid-19. Esta enfermedad, denominada Mip-C, es similar a otra patología autoinmune, la dermatomiositis anti-Mda5 positiva, que puede causar una neumonía de evolución rápida y potencialmente mortal.
"Progresando rápidamente hacia la muerte"
Pradipta Ghosh, profesora de la UC San Diego, recibió una invitación del profesor Dennis McGonagle, de la Universidad de Leeds, para investigar en conjunto un misterio relacionado con el covid-19. "Me dijo que estaban viendo casos leves de covid", señaló Ghosh. "Habían vacunado alrededor del 90 % de la población de Yorkshire, pero ahora estaban viendo esta enfermedad autoinmune muy rara llamada MDA5: dermatomiositis (DM) asociada a autoanticuerpos en pacientes que pueden haber contraído o no covid-19", agregó.
Ghosh recuerda que McGonagle le habló de pacientes con lesiones pulmonares graves, algunos de los cuales presentaban síntomas reumatológicos (erupciones cutáneas, artritis, dolor muscular) que, a menudo, acompañan la enfermedad pulmonar intersticial. McGonagle tenía curiosidad por saber si existía una conexión entre la dermatomiositis positiva para MDA5 y el covid-19.
"La DM es más común en personas de ascendencia asiática, particularmente japoneses y chinos", explica Ghosh. "Sin embargo, McGonagle estaba notando esta tendencia explosiva de casos en caucásicos", añade la experta. También le confió que algunos de estos pacientes estaban progresando rápidamente hacia la muerte, lo que constituía una clara señal de alarma.

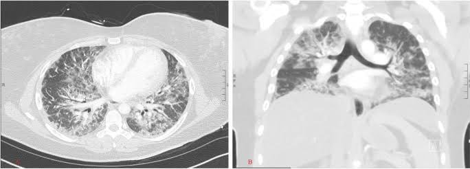
Un total de 25 pacientes desarrollaron cicatrices pulmonares (enfermedad pulmonar intersticial) y 8 personas del grupo mostraron un cuadro lo suficientemente grave como para provocar la muerte debido a la fibrosis progresiva. Ghosh señaló que existían perfiles clínicos establecidos de enfermedades autoinmunes MDA5. "Pero esto fue diferente", advirtió. "Fue diferente en el comportamiento y la tasa de progresión, y en el número de muertes", expuso.
El desarrollo del estudio
Ghosh y el equipo de UC San Diego exploraron los datos de McGonagle con BoNE, el explorador de red booleano, un poderoso marco computacional para extraer información procesable de cualquier forma de 'big data'. "El BoNE está diseñado para ignorar los factores que diferencian a los pacientes en un grupo mientras identifica selectivamente lo que es común (compartido) entre todos los miembros del grupo", explicó Ghosh. Anteriormente, BoNE permitió a la científica y su equipo identificar otros síndromes pulmonares y cardíacos relacionados con el covid-19 en adultos y niños.
Los investigadores descubrieron que los pacientes que mostraban el nivel más alto de respuesta MDA5 también mostraban niveles altos de interleucina-15. "La interleucina-15 es una citoquina que puede causar dos tipos principales de células inmunes", puntualizó la especialista. "Estos pueden llevar a las células al borde del agotamiento y crear un fenotipo inmunológico que muy muy a menudo se ve como un sello distintivo de la enfermedad pulmonar intersticial progresiva o fibrosis pulmonar", sostuvo Ghosh.

Por derecho de descubrimiento, el grupo pudo dar un nombre a la enfermedad. Mip-C fue acuñado para establecer una conexión con MIS-C, una afección infantil deferente, pero relacionada con el covid-19. Ghosh aseveró que es extremadamente improbable que MIP-C se limite al Reino Unido. El estudio fue publicado la semana pasada en eBioMedicine.
"No tenemos que preocuparnos"
Matteo Bassetti, director de la Unidad de Enfermedades Infecciosas del Policlínico San Martino de Génova (Italia) afirmó este jueves a Corriere della Sera: "No tenemos que preocuparnos por el Mip-C". Asimismo, declaró que es la primera vez que oye "hablar de él en cuatro años de covid". Él considera que covid-19 puede haber exacerbado algunas enfermedades, puede haber 'encendido' algunas patologías autoinmunes en los pulmones que ya se conocían, pero no cree que "Mip-C sea un gran problema".


