El canal internacional
de noticias en español
más visto en el mundo
En vivo
Noticias
Viral
Programas
Programas
RT reporta
Ahí les Va
Conversando con Correa
Cartas sobre la mesa
Documentales
El África de Lumumba
El Zoom
ZOOM+
Entrevista
Código Abierto
Impacto Directo
La lista de Erick
Opinión
Multimedia
Multimedia
Videos
Promo
Osografía
Falso o real
Palabra secreta
Equipo de RT
Véanos en TV
Véanos en TV
Esp
Br
Ar
De
En
Esp
Fr
Rs
Ru
Kiev lanza ataques selectivos contra residencia de estudiantes cuando menores duermen
Electro
Portada
Electro
Ataque de Kiev deja a más de 200.000 abonados y cientos de localidades de Zaporozhie sin luz
El peligro de calentar agua en el microondas que siempre se subestima (VIDEO)
España podría sufrir un nuevo apagón masivo, Red Eléctrica alerta sobre tensión en el sistema
VIDEO: Un automóvil casi es impactado por un rayo en una carretera canadiense
La descarga de películas 4K en segundos, a punto de ser realidad
Crean un 'cerebro' de gel y aprende a jugar un juego electrónico
Chilenos protestan por la falta de suministro eléctrico tras el paso de un ciclón
Conectan 16 minicerebros humanos para crear la primera 'biocomputadora' de bajo consumo de energía
Revelan el porcentaje de energía renovable en el suministro mundial de electricidad
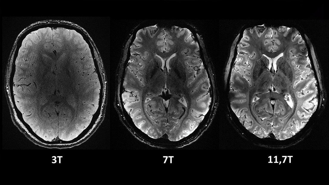
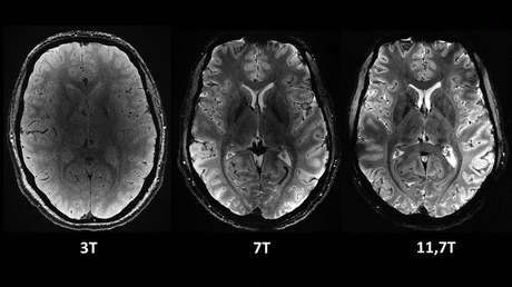
La resonancia magnética más potente del mundo muestra sus primeras imágenes
Aterrador momento en que un globo aerostático se estrella contra el tendido eléctrico
Abogado recibe descarga eléctrica con una táser en un juicio
'Hackers' podrían incendiar un 'smartphone' conectado a un cargador inalámbrico
Niños con discapacidad usan sus mentes para moverse y jugar gracias a una nueva tecnología
Dispositivo chino de plasma podría cambiar las reglas de juego en el combate aéreo
China hacia la supremacía en la industria de vehículos eléctricos
Desarrollan el primer prototipo de batería con base en un elemento de la sangre humana
Gobierno cubano actualizará los precios de combustibles, electricidad y gas licuado
RT en Español en vivo - TELEVISIÓN GRATIS 24/7
Lo más popular
Revelan el apodo secreto de Kallas en el Parlamento Europeo
22 may 2026 | 02:09 GMT
Aprobación de Trump entre republicanos cae a un mínimo histórico
22 may 2026 | 02:36 GMT
Incendian centro de tratamiento de ébola en el Congo por rituales funerarios (VIDEO)
22 may 2026 | 03:53 GMT
Trump anuncia que EE.UU. enviará 5.000 tropas adicionales a este país
21 may 2026 | 20:31 GMT
VIDEO: Tanque ruso reduce a escombros una fortaleza ucraniana y tres puestos de tiro
22 may 2026 | 04:39 GMT
Osografía
Trump termina su visita a China creyendo que fue asombrosamente exitosa, pero…